Il ginocchio è l’articolazione che più di ogni altra condiziona la nostra libertà di movimento.
Ho dedicato oltre venticinque anni a studiarne ogni dettaglio, ad individuarne per tempo ogni segnale di compromissione: dal dolore, alla rigidità ai rumori anomali. L’artrosi del ginocchio, meglio detta gonartrosi, è una patologia degenerativa che consuma progressivamente i tessuti molli interni, dai menischi alla cartilagine articolare, fino a compromettere anche la struttura ossea. Il mio obiettivo è aiutare i pazienti a riconoscere anche i sintomi precoci e a dare consigli per proteggere l’articolazione e rallentare l’evoluzione della malattia. Come pure, nei casi di degenerazione conclamata, eseguire interventi, i più conservativi possibili della residua articolazione sana, per ritornare ad una buona qualità della vita.
Cos’è la gonartrosi
L’artrosi al ginocchio è una malattia cronica che provoca progressiva usura dei tessuti molli interni: i menischi che sono gli “ammortizzatori” e la cartilagine, la superficie liscia “di scorrimento” che riveste il tessuto osseo dell’articolazione.

Quando prima i menischi e poi la cartilagine si deteriorano, l’osso subisce un carico diretto ed una usura marcata: tutto il processo è caratterizzato da progressivi ed ingravescenti sintomi di dolore, rigidità articolare e versamenti recidivanti.
La malattia si sviluppa lentamente e spesso i primi sintomi sono lievi: una rigidità mattutina o un leggero dolore dopo una lunga camminata. Con il tempo, questi segnali diventano più evidenti e frequenti.
I sintomi principali includono:
- Dolore articolare: peggiora con il movimento e migliora a riposo
- Rigidità articolare, soprattutto dopo inattività o al risveglio
- Gonfiore, calore o arrossamento locale
- Rumori articolari dovuti all’usura della cartilagine o movimenti anomali meniscali
- Sensazione di instabilità dovuta ad improvvisi cedimenti da dolore acuto
- Zoppia e dolore a riposo nei casi avanzati e/o acuti
Riconoscere questi segnali in tempo permette di intervenire in maniera mirata, evitando che la malattia progredisca troppo velocemente.
Cause e fattori di rischio

L’artrosi del ginocchio non è una malattia bensì una fisiologica degenerazione. Il naturale invecchiamento causa una degenerazione con estrusione dei menischi e successivo consumo della cartilagine perché non più protetta dagli “ammortizzatori” meniscali. Peraltro altri fattori accelerano la degenerazione: sovraccarichi articolari, dovuti a obesità e scarsa attività o al contrario attività fisica detta da “sovrauso”, stressano particolarmente il ginocchio. Traumi pregressi come distorsioni, fratture o interventi chirurgici aumentano il rischio di manifestazione artrosica.
Nei soggetti giovani, alcune forme di artrite reumatologica possono causare artrosi: si tratta di una vera e propria malattia sistemica che richiede cure mirate e trattamento farmacologico.
La storia, la conformazione e l’attività della persona raccontano la verosimile situazione del ginocchio: conoscere l’individualità è fondamentale per costruire un percorso terapeutico preventivo efficace.
Chi soffre di artrosi del ginocchio sa quanto questa degenerazione possa limitare anche le attività più semplici. Camminare, salire le scale, alzarsi da una sedia o fare attività fisica seppur moderata diventano tutte situazioni dolorose e talvolta non eseguibili. Nei casi avanzati, il dolore può persistere anche a riposo o di notte, compromettendo la qualità del sonno. In sostanza l’artrosi può arrivare a compromettere la vita sociale e la psiche dei pazienti.
Intervenire in anticipo significa mantenere autonomia e mobilità più a lungo nella vita, prevenendo limitazioni e dolore.
Diagnosi: come diagnosticare la gonartrosi

Una corretta valutazione clinica ortopedica talvolta è più che sufficiente. Durante la visita, ascolto la storia del paziente e poi esamino il ginocchio: molto spesso è sufficiente per intraprendere le prime terapie non chirurgiche. Solo in caso di insuccesso di queste procedo con la richiesta di esami strumentali che completano il quadro e sono volti a darmi una idea della indicazione chirurgica:
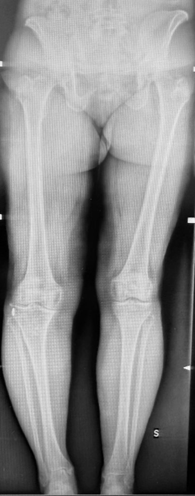
- Radiografie in carico: l’esame fondamentale per valutare in modo indiretto (“quanto si avvicinano le ossa”) l’usura dei tessuti molli. Nei casi più avanzati di coinvolgimento osseo, la valutazione dell’artrosi è diretta e non serve nessun altro esame. Se preferite venire in visita con esami già disponibili, fatevi prescrivere dal vostro medico: 1-RX ginocchia in carico secondo Rosenberg 2-RX latero laterale a condili sovrapposti a 30° di flessione 3-Rx assiali rotulee 30° di flessione 4- RX arti in toto in carico cod.88291
- Risonanza magnetica: per l’artrosi è un esame di secondo livello, utile nei casi selezionati per analizzare i tessuti molli: menischi, legamenti, cartilagine e tessuto osseo cellulare
- Esami del sangue: servono talvolta per escludere patologie infiammatorie croniche reumatiche.
- Analisi del liquido sinoviale: in selezionati casi di versamento articolare per escludere infezioni o patologie reumatologiche
Trattamenti conservativi: rallentare la progressione
Nei primi stadi della malattia, i trattamenti conservativi per me sono la scelta primaria. Modifiche dello stile di vita e terapie mirate possono ridurre i sintomi e rallentare la degenerazione
- Perdita di peso: riduce il carico sull’articolazione. Non è difficile! Non ti serve correre 30 Km al giorno! Comincia a limitare i carboidrati e gli zuccheri nella dieta… vedrai presto i miglioramenti.
- Esercizio fisico mirato e fisioterapia: un movimento dolce quotidiano fa produrre liquido sinoviale “buono” e fa riassorbire quello “cattivo”
- Infiltrazioni intra-articolari: il cortisonico, l’unico efficace e validato dalla comunità scientifica, riduce l’infiammazione e il dolore in modo notevole; come per ogni farmaco, giuste dosi e somministrazioni sono essenziali, anche la tachipirina se abusata può dare problemi!

- Farmaci antinfiammatori (FANS): gestiscono il dolore e l’infiammazione in aggiunta alle infiltrazioni, ma sono meno efficaci e vale come sopra, mai abusarne!
- Farmaci pro-ossei metabolici: utili nei casi di algodistrofia ma con validazione scientifica parziale ed effetti collaterali significativi, quindi per me di seconda scelta
- Ausili ortopedici: tutori e plantari possono aiutare a correggere il carico articolare, ma sono presidi costosi e non sempre efficaci, quindi per me di seconda scelta.
- Terapie fisiche: innumerevoli…tecarterapia, laser, ultrasuoni, magnetoterapia… ma validate scientificamente molto poco; quindi per me la terza scelta, quella della “disperazione”.
Questi interventi, combinati in un percorso personalizzato, mirano a ritardare o evitare la necessità di chirurgia e mantenere la funzione articolare desiderata.
Nei casi avanzati di artrosi la protesi di ginocchio può ripristinare mobilità e qualità della vita. Personalmente, tranne nei casi di artrosi grado 3 o 4, opero solo dopo un percorso conservativo completo. Spiego ai pazienti ogni fase dell’intervento e soprattutto del recupero, preparandoli a gestire dolore (“per un anno sarà dura!” una delle mie fasi classiche) e riabilitazione. La chirurgia di sostituzione articolare è un’opportunità per tornare a muoversi liberamente, con sicurezza e serenità, ma non bisogna abusare nell’indicazione.
Il mio approccio personale
Ogni paziente per me è unico, come ogni ginocchio. Il mio approccio unisce esperienza clinica, formazione internazionale e aggiornamento scientifico costante.

Valuto attentamente storia, sintomi e caratteristiche anatomiche per proporre strategie personalizzate, privilegiando soluzioni conservative. Non credo in pozioni magiche o trattamenti improvvisati: ogni decisione è basata su evidenze scientifiche e pratica clinica consolidata di 25 anni.
L’obiettivo finale è ridurre il dolore, rallentare la degenerazione e preservare la funzione articolare, restituendo ai pazienti la libertà di muoversi senza limitazioni, possibilmente senza operare.
La gonartrosi è cronica e progressiva, ma non significa rinunciare alla mobilità. Con diagnosi precoce, monitoraggio attento e trattamenti mirati, è possibile rallentare il peggioramento, ridurre il dolore e mantenere una buona qualità della vita.
Prenota un consulto presso i miei ambulatori in Trentino:
ZONA TRENTINO CENTRO NORD
- TECNOMED via P. Borsellino 3, Trento – Tel 0461 230005
ZONA TRENTINO SUD
- CST CERBA HEALTH CARE Piazza A. Leoni 22, Rovereto – Tel 0464 013085
- CASA DI CURA SOLATRIX via Bellini 11, Rovereto – Tel 0464 491111
ZONA TRENTINO ALTO GARDA
- ALP TRAUMA CLINIC Viale Rovereto 13/B, Riva del Garda – Tel 0464 718150
- OSPEDALE SAN PANCRAZIO via Damiano Chiesa 2, Arco – Tel 0464 586200



